
A standard yearly check-up offered to all patients. An excellent way to catch potential health issues before they become a serious threat to your wellbeing.

Committed to working with patients to evaluate a wide variety of cardiac issues including, high blood pressure, abnormal cardiac rhythms, shortness of breath, chronic cough, irregular EKG/Ultrasound results, and so forth.

Providing patients suffering from chronic disorders with personalized medical regiments intended to have them feeling their best.

Noninvasive technique used to check for signs of heart disease. ECG/EKG’s record the electrical activity of the heart through small electrode patches attached to the skin. The tracing also imparts a wide variety of information about blood pressure, structural heart problems, heart rhythm abnormalities, and so forth.

Patients are provided with a portable monitor to track their cardiac rhythm for a period of 24 hours.

Surgeons frequently request clearance from a cardiologist for adult patients prior to major procedures/operations.

I strive to accommodate patients suffering from acute symptoms in my daily schedule.

Imaging of the aorta as it passes through the abdominal cavity. An important test needed to identify aortic aneurysms.

Imaging of the lower extremities to look for narrowing of arteries that can cause pain with mobilization. Frequently seen in diabetic patients.

Imaging of the carotid artery located in the neck leading up to the brain. Used to evaluate for risk of stroke.

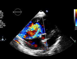
Imaging of the heart that reveals crucial information about cardiac structure and function.

Imaging of the lower extremities to identify venous clots.

Imaging of the arteries that feed blood to the kidneys. Frequently used in the evaluation of high blood pressure.